任何人都可以做冷光美白吗?
- 时间:2015-08-12
- QQ咨询
- |
- 医师答疑
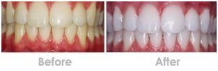
如果个美女回眸嫣然笑却是口黄牙我想那定很惊悚。牙齿黄会给人种这个人很脏很邋遢的感觉,相反口洁白的贝齿会让个人的形象更加出色。所以冷光美白牙齿才会这么的吸引人。不过并不是所有人都能做冷光牙齿美白的,这个你知道吗?
四环素牙
为儿童时期经常服用四环素所致。它在体内与钙质相结合,生成种四环素钙的黄色复合物,沉积于牙冠上。四环素牙不是不能做冷光牙齿美白,而是做了也没有用。这类患者如果想要美白牙齿,只能靠遮盖的方式,如烤瓷牙等。

牙釉质发育不全
牙齿在发育的过程中,表层的釉质因为缺乏钙、磷和维生素A、D等物质,或是受水质等因素的影响造成牙齿发育障碍。冷光牙齿美白对这类人也是没有明显高效的,所以再做这个项目的时候定要注意实现咨询医生,确定自己的牙齿是可以通过冷光牙齿美白来改善的。
吸烟的人
烟草中的黄色物质沾附于牙齿上,这些色素逐渐沉积甚至进入牙齿深层,使得牙齿的表面开始发黄、变黑。长期吸烟的人做冷光牙齿美白后,牙齿的颜色是会有定改善的,但由于这类人吸烟的毛病是戒不掉的,所以当再次吸烟时,色素又会很快的回到牙齿上,所以做不做没有什么意义。

龋齿、死髓牙
龋齿俗称虫牙或蛀牙,是由于在细菌的参与下,糖类食物发酵产酸而腐蚀牙体,久而久之形成黑色龋齿。死髓牙多因为深龋细菌感染或直接暴力打击,牙齿意外折断,导致牙髓损伤坏死而变色。
亲们了解了吗,还是有点要注意噢,进行牙齿美白的时候要进行专业的咨询和大型的医疗机构来诊断噢。
- 上一篇:牙齿冷光美白前为什么要洗牙?
- 下一篇:冷光美白牙齿明显高效能维持多久?



